Walker & Barr, DMD
Walker & Barr, DMD
Request an Appointment
Like us on Facebook
Visit us on Yelp
Leave a Google Review
(813) 689-5928
212 N Moon Ave
Brandon, FL 33510
Home
About Us
Our Team
Technology
Office Pictures
Treatments
View All
Invisalign® Clear Aligners
All-On-4®
BOTOX® Injections
Dental Crowns and Bridges
Dental Implants
General Dentistry
Gum Disease Treatment
Porcelain Veneers
Preventive Dentistry
Root Canal Treatment
Teeth Whitening
TMJ & Bruxism Treatment
Tooth Extractions
Smile Gallery
View All
All-On-4®
BOTOX® Injections
General Dentistry
Invisalign® Clear Aligners
Porcelain Veneers
Teeth Whitening
Testimonials
Patient Info
View Patient Info
Forms
Financial
FAQs
Blog
Contact
Walker & Barr, DMD
>
Smile Gallery
>
Porcelain Veneers
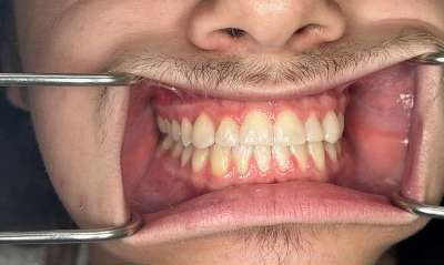
Smile Gallery: Porcelain Veneers
Take a look at some of our before and after photos!
Before
After
Before
After
Composite Veneers Bonding
View More
Have Questions? Get in Touch
Contact Us
Smile Gallery Categories
Invisalign® Clear Aligners
All-On-4®
BOTOX® Injections
General Dentistry
Porcelain Veneers
Teeth Whitening
If you have difficulty using our website, please
email us
or call us at
(813) 689-5928
View the
ADA Accessibility Statement
Turn on ADA Views
OK!
×
×
Contact Us Today
Give Us A Call
Walker & Barr, DMD -
(813) 689-5928
Send Us an Email
Request an Appointment
Contact Us
Ready to Schedule an Appointment?
Book Online
Have Questions? Contact Us:
Required Field
Your Name:
Phone:
Email:
Are you a new patient?:
Are you a?
New Patient
Current Patient
How would you like us to contact you?
Please choose
Email
Call
How did you hear about us?
Please choose
I'm an existing patient
Google/Bing
Mailer
Word of mouth
Social media
Other
Who Referred You?:
Appointment Preferences
Monday
Tuesday
Wednesday
Thursday
Your Message:
This site is protected by reCAPTCHA and the Google
Privacy Policy
and
Terms of Service
apply.
Sending...
×
This Patient's Experience
Loading Testimonial...
Loading Case...