Smile Gallery
Take a look at some of our before and after photos!




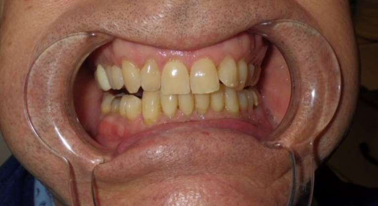
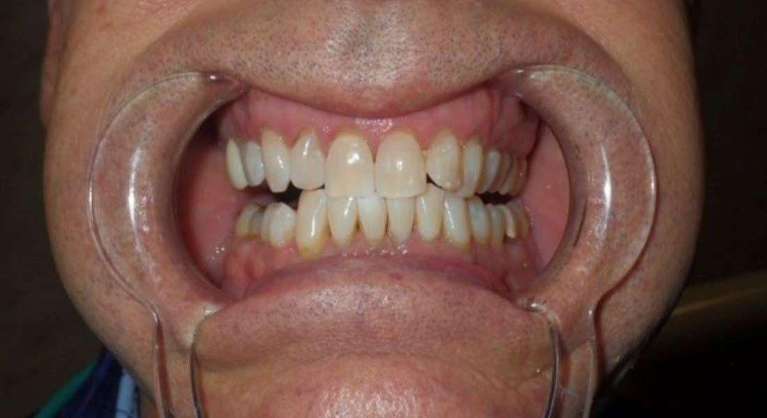
This patient presented with slight tooth alignment concerns that our dentists took care of with Invisalign® clear aligners.
Invisalign is ideal and efficient for patients who might have had orthodontic treatment but have experienced slight tooth movement or shifting.
With clear and removable aligners, Invisalign offers a level of convenience and ease that traditional braces can't match. You can maintain your diet and home care routine without any disruption.
Is Invisalign in Brandon, FL, Right for Me?
The best way to determine if clear aligners will work for your needs is to book an evaluation with your Invisalign dentists at Walker & Barr, DMD.
You ...


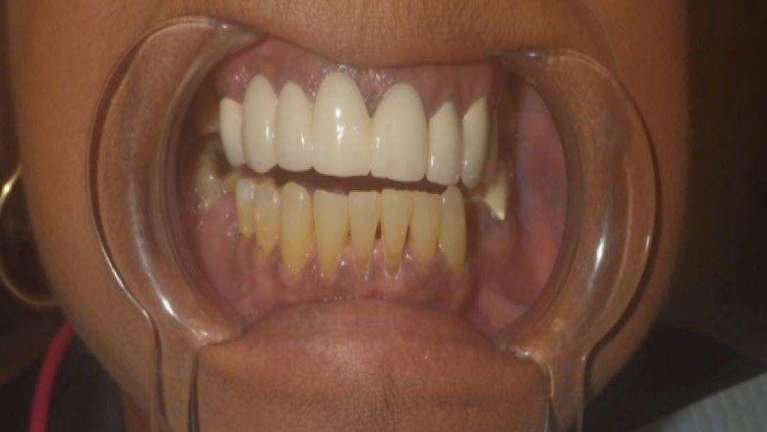
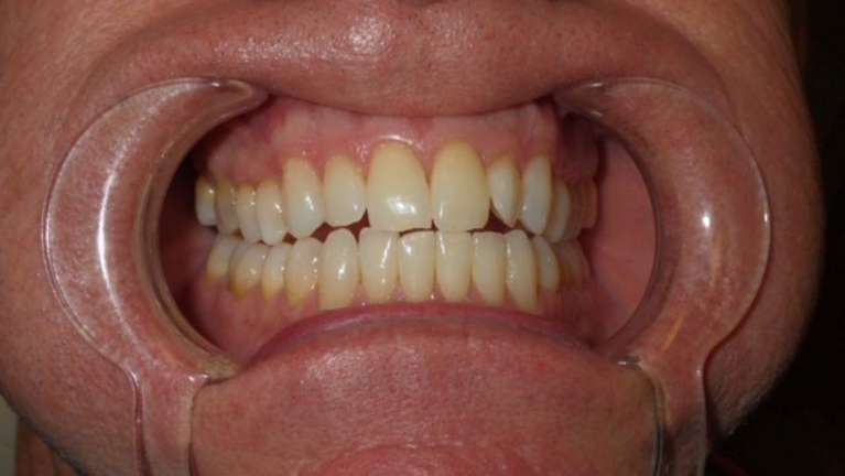
This patient presented with severely worn front teeth that were diminishing the appearance of their smile. Our dentists used a procedure called composite bonding to reshape their front teeth and restore aesthetics to their smile.
Now, they're smiling with confidence once again!
What Is Composite Bonding?
This quick and affordable procedure uses the same material we use for fillings—composite resin—to restore small cosmetic concerns like:
- Chipped or broken teeth
- Tooth size or shape discrepancies
- Stained or discolored teeth
- Gaps between teeth
- Worn teeth
If you'd like to learn more about composite bonding in Brandon, FL, contact our team at (813) 689-5928.


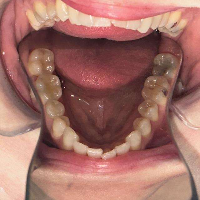
This patient presented with a tooth compromised by decay. Our dentists removed the decayed portion of the tooth, filling it in with tooth-colored composite resin that we customized to blend seamlessly with their tooth.
Composite resin comprises micro-particles of resin and glass that we custom shade and bond directly to your tooth, making it durable and aesthetic.
How Long Do Tooth-Colored Fillings Last?
Composite resin fillings can last seven to twelve years with excellent home care and regular dental checkups.
Composite resin is not just for fillings. We can also use it to address a range of minor cosmetic concerns, such as chipped or ...


This patient enjoyed stunning results with Zoom professional teeth whitening! He came to us feeling like his smile could be brighter, and after one 90-minute appointment at our dental office, he left with excellent results that took years off his appearance.
Learn More about Professional Teeth Whitening in Brandon, FL
At Walker & Barr, DMD, we also offer professional-strength whitening strips, ensuring you get the same quality treatment at home as you would in our dental office.
Whether you need immediate results or prefer to brighten your smile at home when it's convenient for your schedule, we've got you covered!
Contact us at (813) ...


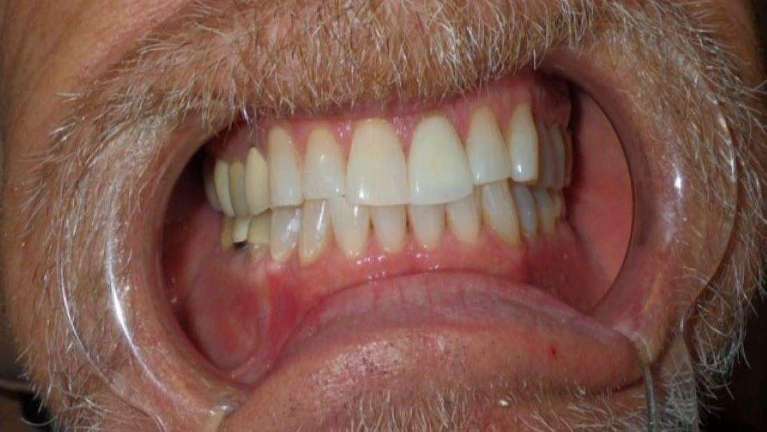
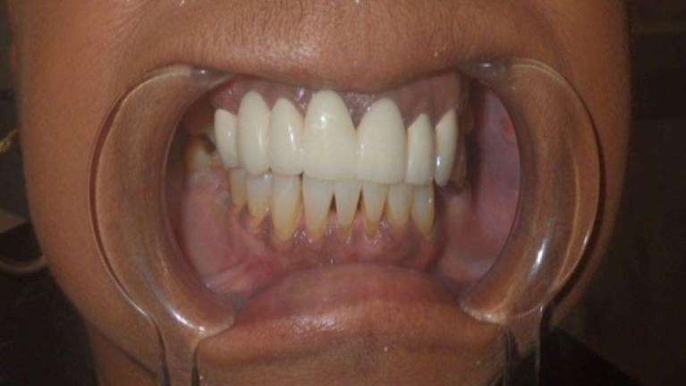
This patient was missing most of his natural teeth, impacting his chewing function, diet, nutrition, and confidence.
Our dentists recommended an All-on-4® denture to restore his teeth, rebuild his facial structure, and restore function and aesthetics.
Now, he can chew, eat, smile, and laugh with confidence!
What Are All-on-4 Dentures?
All-on-4 dentures, a revolutionary dental solution, use four strategically placed dental implants to secure a custom-designed denture. This innovative approach eliminates the movement and slippage often associated with traditional dentures, providing a stable and comfortable solution. Dental implants also play a crucial role in maintaining the jawbone's health, preventing the deterioration that can occur ...


This patient came to us feeling like her forehead lines were diminishing her appearance. Our dentists recommended BOTOX® injections to smooth out the fine lines and enhance her appearance.
BOTOX relaxes the facial muscles, smoothing out wrinkles and fine lines. Its effects last three to four months.
Why Choose Your Brandon Dentist for BOTOX Injections?
When it comes to BOTOX injections, your dentist is the best choice. Their extensive training in facial anatomy and daily practice in delivering dental anesthetic injections make them the ideal professionals for delivering comfortable, effective BOTOX injections.
If you want to learn more about BOTOX in Brandon, FL, contact ...


This patient came to us feeling like her smile was dull and certain teeth were discolored. A 90-minute Zoom teeth whitening session brightened her smile significantly and brought all the teeth to the same beautiful shade.
Now, she's smiling brightly and confidently!
Want to Whiten Your Teeth?
Don't let discomfort or budget constraints hold you back. We offer in-office teeth whitening or professional-strength take-home strips, ensuring you can achieve your brightest smile in a way that suits your lifestyle and budget.
To learn more about professional teeth whitening in Brandon, FL, contact Walker & Barr, DMD, at (813) 689-5928.
Sadly, I have not been to the dentist in a very long time because my teeth have always been really good. However, I found a cavity that felt huge. Dr Barr did an excellent job repairing it with Tina, her dental assistant. While checking my teeth another cavity was found and I will have Dr Barr and Tina repair that too in a few weeks. I will be visiting them twice a year for cleaning and maintenance. Dr Barr and team are extremely professional and I would happily recommend them.