Walker & Barr, DMD

Invisalign® Clear Aligners

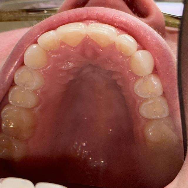
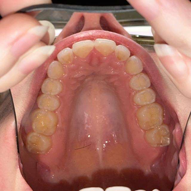
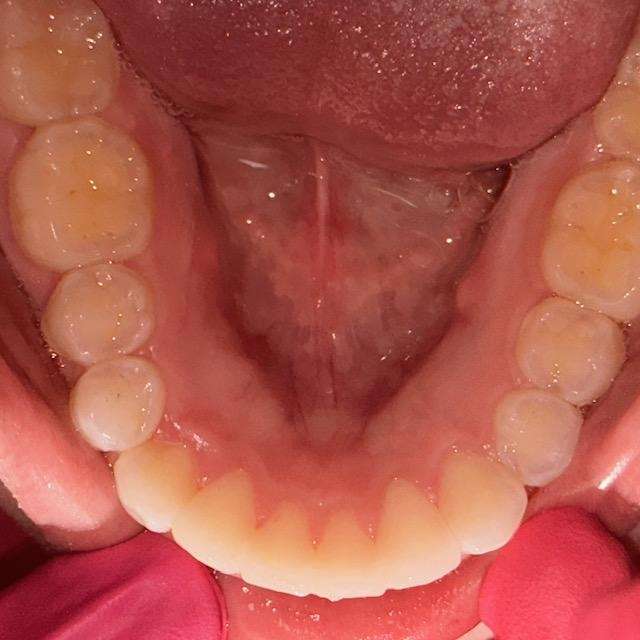
This patient presented with slight tooth alignment concerns that our dentists took care of with Invisalign® clear aligners. 

Invisalign is ideal and efficient for patients who might have had orthodontic treatment but have experienced slight tooth movement or shifting. 

With clear and removable aligners, Invisalign offers a level of convenience and ease that traditional braces can't match. You can maintain your diet and home care routine without any disruption. 

Is Invisalign in Brandon, FL, Right for Me?

The best way to determine if clear aligners will work for your needs is to book an evaluation with your Invisalign dentists at Walker & Barr, DMD. 

You can request an appointment online or call our team at (813) 689-5928. 

Related Services:

Invisalign® Clear Aligners
Bottom row of teeth before Invisalign Bottom row of teeth after Invisalign
Upper row of teeth before Invisalign Upper row of teeth after Invisalign
Outsanding and Professional

Sadly, I have not been to the dentist in a very long time because my teeth have always been really good. However, I found a cavity that felt huge. Dr Barr did an excellent job repairing it with Tina, her dental assistant. While checking my teeth another cavity was found and I will have Dr Barr and Tina repair that too in a few weeks. I will be visiting them twice a year for cleaning and maintenance. Dr Barr and team are extremely professional and I would happily recommend them.

Ready to book an appointment?
If you have difficulty using our website, please email us or call us at (813) 689-5928
View the ADA Accessibility Statement